Variedades
O que acontece com o cérebro de um homem capaz de agredir mulheres?
Published
5 anos agoon
By
Da Redação
Pessoas que possuem comportamento agressivo com ataques de fúria precisam procurar ajuda profissional
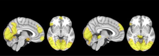
O que acontece com o cérebro de um homem que toma uma atitude violenta como, por exemplo, agredir fisicamente a companheira, dentro de casa e na frente do filho pequeno? Um exemplo, é o caso do DJ Ivis, que foi preso por agressão a ex-esposa, Pamella Holanda. As cenas são fortes: chutes, socos, tapas. Estudos no cérebro podem ajudar a reduzir a violência doméstica e identificar possíveis agressores.
Disfunções em regiões específicas do cérebro resultam em atitudes incoerentes, não são doença, e portanto, cabíveis de punição; e não é desculpa para a ação. Comportamento agressivo também de influência genética, um gatilho disparado por causa de traumas na infância. Fatores ambientais ou disfunções do sistema límbico, devido a fatores emocionais, aumentam a probabilidade com a intensidade da ansiedade.

Estudos no cérebro prodem ajudar a reduzir a violência doméstica e identificar possíveis agressores
Fatores como culturais, educacionais e relação com a falta de conhecimento sugerem ações emocionais e incoerentes. Por mais que a pessoa tenha fatores que interferem nessas disfunções, através da plasticidade cerebral é possível balancear e aprimorar a conexão do córtex pré-frontal, região racional do cérebro com o sistema límbico, região do lobo temporal relacionado com o sistema emocional.
Outro detalhe que precisa ser observado é que o desequilíbrio entre os estímulos límbicos ascendentes e os mecanismos pré-frontais de controle descendentes resultam em comportamentos impulsivo-agressivos. A agressividade descontrolada pode ser causada pela baixa concentração de dopamina no cérebro, bem como outros neurotransmissores como a serotonina, a noradrenalina, entre outros, que afetam o equilíbrio entre os impulsos ascendentes e o controle descendente resultantes de estimulação aversiva ou provocativa.
Pessoas que possuem comportamento agressivo com ataques de fúria precisam procurar ajuda profissional para que, com terapia ou até mesmo uso de psicofarmacológicos, possam evitar comportamentos que causem danos a si ou a sociedade.
Estudantes investigam lutas e resistências da população negra em prática pedagógica de História
A Escola Estadual de Ensino Fundamental e Médio (EEEFM) Santo Antônio realizou uma prática pedagógica voltada à reflexão crítica sobre...
Projeto Praia Limpa: educação ambiental une gerações na orla de Guriri
A 7ª edição do Projeto Praia Limpa, realizada pelo Colégio In Pacto em parceria com a Secretaria do Meio Ambiente,...
Monges budistas são presos com 110 quilos de maconha
Um grupo de 22 monges budistas do Sri Lanka foi preso após uma apreensão recorde de 110 quilos de maconha....
Professor é preso suspeito de estuprar aluna no Norte do ES
Segundo as investigações, durante uma aula particular, o professor atraiu a adolescente para uma obra e praticou o crime Um professor de...
Seis mulheres e duas estão grávidas: conheça a família poliafetiva que viralizou nas redes
Casado legalmente com uma mulher e em relacionamento com outras cinco, Ivan Rocha contou como administra a rotina da casa...
Vídeo mostra momento íntimo de duas mulheres em carro e viraliza nas redes
Vídeo de duas mulheres em carro durante viagem viraliza e levanta debate sobre privacidade e custo de hospedagem. Um vídeo...
Calor e tempo seco marcam a semana: veja a previsão completa no ES
Segundo o Incaper, a atuação de ventos úmidos do mar provoca apenas pancadas rápidas no litoral A semana será marcada...
FA 1447 / 28 DE MARÇO DE 2026
As principais notícias de São Mateus, Norte do Espírito Santo e do Brasil, você encontra na sua edição impressa do...
FA 1446 / 21 DE MARÇO DE 2026
As principais notícias de São Mateus, Norte do Espírito Santo e do Brasil, você encontra na sua edição impressa do...
São Mateus
Sesc São Mateus abre inscrições para o projeto Sesc 60+
Interessados podem se inscrever até o dia 7 de maio, data que marca o início das atividades A tendência de...
Incêndio atinge ponte em mau estado e deixa comunidade isolada na zona rural de São Mateus
Moradores da comunidade de Córrego da Serrinha, na região do Patrimônio São Jorge da Barra Seca, em São Mateus, denunciam...
Grave acidente deixa vítimas presas às ferragens na rodovia Antônio Duarte Santos
Na noite deste sábado (26), um grave acidente envolvendo dois veículos foi registrado na rodovia Antônio Duarte Santos. Segundo informações...
Regional
Mulher é morta pela companheira após discussão sobre fim do relacionamento no Norte do ES
Uma mulher foi morta a facadas neste sábado (25), no bairro Jardim Planalto, zona rural de Pinheiros, no Norte do...
Homem é indiciado por matar jovem com 10 facadas em São Domingos do Norte
Caso aconteceu no início deste mês no bairro Niterói; autor foi preso em São Gabriel da Palha e confessou o...
PF prende suspeito investigado por compartilhar material de abuso infantil no Norte do ES
A Polícia Federal prendeu um homem durante a Operação Anjo Mal, deflagrada em Conceição da Barra, no Norte do Espírito...
Estadual
Motociclistas são os que mais morrem na BR-101 entre ES e BA, aponta levantamento
Os motociclistas foram as principais vítimas fatais em acidentes registrados na BR-101, no trecho entre Espírito Santo e Bahia, durante...
VÍDEO | Motoboy filma acidente no ES e escapa por pouco de tragédia
Câmera acoplada ao capacete do motoboy registrou quando os veículos bateram e pegaram fogo em Cariacica As imagens, gravadas por...
Sol e tempo firme marcam previsão para os próximos dias no Espírito Santo
Sistema de alta pressão mantém o tempo seco, com sol predominante e temperaturas em elevação A previsão do tempo indica um período...
Nacional
Vídeo de confronto em motel viraliza e levanta debate sobre violência e exposição nas redes
Um vídeo que circula nas redes sociais e aplicativos de mensagens tem gerado grande repercussão ao mostrar um confronto envolvendo...
Salário deve ser pago até 7 de maio por causa do feriado do Dia do Trabalho
Trabalhadores com pagamento mensal devem ficar atentos: o prazo para o depósito dos salários referentes a abril de 2026 será...
Igreja luciferiana busca alvará para funcionamento e chama atenção às margens da Dutra no RJ
Uma construção cercada de curiosidade e repercussão nas redes sociais tem chamado a atenção de motoristas e moradores em Itatiaia....
Policial
BR-101 | Casal é preso com mais de 100 quilos de maconha durante abordagem em Guarapari
Um casal foi preso com mais de 100 quilos de maconha dentro de um carro durante uma fiscalização da Polícia...
Força Tática da 17ª Cia Independente prende chefe do tráfico de drogas e apreende armas de fogo
Nesta terça-feira, militares da Força Tática conseguiram apreender três armas de fogo em ocorrências distintas, realizando ainda a prisão de...
Ação da Força Tática do 2º Batalhão resulta na recuperação de motocicleta furtada em Nova Venécia
Nesta quarta-feira (15), durante patrulhamento tático motorizado no município de Nova Venécia, policiais militares da Força Tática do 2º Batalhão...
ENTRETENIMENTO
Veja os registros mais sensuais de Aline Riscado na web: “Haja coração!”
Dona de uma sensualidade ímpar e um corpão de parar o trânsito, Aline Riscado virou sinônimo de beleza no mundinho...
Juju Salimeni impressiona com ensaio poderoso e destaca autocontrole: “Foco muda o jogo”
A influenciadora fitness Juju Salimeni voltou a chamar atenção nas redes sociais ao divulgar cliques de um novo ensaio fotográfico...
Filho de Rebeca Abravanel rouba cena em festa do filho caçula de Patrícia Abravanel
A apresentadora Patrícia Abravanel divertiu os seguidores ao compartilhar registros da festa de aniversário de sete anos do filho caçula,...
POLÍTICA
Líderes comunitários poderão contar com programa de capacitação
Reconhecer, incentivar e fortalecer a atuação de líderes comunitários. É o que pretende o deputado Zé Preto (Podemos), autor do...
Líderes comunitários poderão contar com programa de valorização e capacitação
Reconhecer, incentivar e fortalecer a atuação de líderes comunitários. É o que pretende o deputado Zé Preto (Podemos), autor do...
Janete defende mobilização contra o aumento da violência contra animais
A campanha Abril Laranja, dedicada à conscientização e ao combate à crueldade contra animais, foi destaque no pronunciamento da deputada...
Esportes
Neymar fica fora de álbum oficial da Copa e ausência levanta dúvidas sobre Mundial de 2026
A ausência de Neymar no álbum oficial da FIFA World Cup surpreendeu torcedores e abriu espaço para especulações sobre sua...
Flamengo vence Bahia e segue na vice-liderança do Brasileirão
O Flamengo somou mais três pontos na luta pelo topo do Campeonato Brasileiro ao derrotar o Bahia por 2 a...
Fluminense vence Santos de virada na Vila Belmiro pelo Brasileirão
O Fluminense conquistou uma vitória suada por 3 a 2 contra o Santos, neste domingo, pela 12ª rodada do Campeonato...
Mais Lidas da Semana
-
São Mateus6 dias agoJovem de 26 anos é executado com mais de 15 tiros na zona rural de São Mateus
-
São Mateus6 dias agoMotociclista e passageira ficam feridos após colisão com vaca em São Mateus
-
Estadual6 dias agoVÍDEO | Briga entre homens assusta moradores em bairro no Sul do ES
-
Policial6 dias agoBR-101 | Casal é preso com mais de 100 quilos de maconha durante abordagem em Guarapari
-
Nacional6 dias agoAcordos do caso Mariana dispensam aprovação da Justiça inglesa, diz STF
-
Nacional6 dias agoCandidata a miss da Bahia é encontrada morta em condomínio
-
São Mateus6 dias agoProfessora capota carro após desviar de cachorro em São Mateus
-
Esportes6 dias agoNeymar fica fora de álbum oficial da Copa e ausência levanta dúvidas sobre Mundial de 2026







